突然爆炸!伤口深可见骨!快看你家冰箱有没有……
2025/9/6 19:48:19
浏览量:200
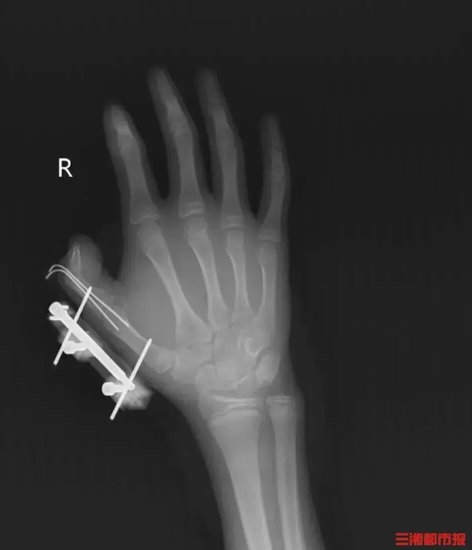
冰镇冷饮冰激凌 为冷链食物保鲜 制作“仙气飘飘”的网红饮料 …… 干冰在日常生活中十分常见 但很多人不知道 干冰若储存、使用不当 便会“暗藏杀机” 把干冰当玩具摇 14岁少年手指被炸得深可见骨 前不久,湖南一名14岁的少年维维(化名),在爸爸网购冰激凌的箱子里发现了用于冷藏的干冰,便拿走当成玩具玩,捏在手里反复摇晃。 突然,密封袋里的干冰发生爆炸,维维的右手瞬间鲜血直流,拇指虎口处被撕开一道约10厘米的伤口,深可见骨,肌肉组织断裂外露,还伴随着拇指骨折、关节脱位,整个拇指完全失去知觉。 见状,家人赶紧带他到当地医院包扎,随后紧急转往湖南省人民医院手足显微外科。经治疗,维维的拇指保住了,但后续还需长期康复训练,才能慢慢恢复手部精细动作功能。 维维懊悔不已:“早知道干冰这么危险,我绝对不会去玩。” 干冰不是“冰” 爆炸威力堪比鞭炮 干冰,又名固态二氧化碳,通常为无毒无味的白色固体,形状不一。干冰在常温常压下,可以直接升华成二氧化碳气体,升华时体积膨胀800倍至1000倍,加入热水后会急剧加速升华产生大量烟气。 湖南省人民医院手足显微外科主任陈建民介绍,如果将干冰装在密封袋里摇晃,随着气体不断增多,袋子承受不住压力就会爆炸,爆炸产生的威力是普通鞭炮的数倍,瞬间的杀伤力不容小觑。 干冰使用不当 可能造成致命危险 爆炸 在密闭容器中使用干冰:干冰在常温下易转化为二氧化碳气体,导致密闭容器内压力升高,超过容器承受极限后产生爆炸。 ▲图源:广东消防 在冰箱内放置干冰:干冰的升华温度约为-78.5℃,而冰箱冷冻室的温度在-4℃至-24℃之间,因此干冰放入冰箱后,会持续升华产生大量二氧化碳气体,致使冰箱内部压力过大,发生爆炸。 ▲图源:广东消防 窒息 干冰升华后产生的二氧化碳气体会导致人呼吸困难,如果在较封闭的空间内,短时间就可引发窒息,危及生命。 冻伤 干冰是温度在-78.5℃以下的固态二氧化碳,直接接触皮肤会瞬间带走热量,非常容易造成冻伤,甚至导致皮肤坏死,重则伤及肌肉、骨骼。 收到冷链包裹 如何安全处理干冰? 别让孩子触碰 家长要把干冰放在孩子拿不到的地方,防止儿童因为其“烟雾缭绕”而好奇把玩,明确告诉孩子干冰不是玩具。 拒绝密闭空间 切勿将干冰存放在矿泉水瓶等密闭容器中,或保存在冰箱里;干冰要放置在通风良好的地方。 不要在汽车等密闭空间内存放使用干冰。 接触必戴防护 不要直接接触干冰,为避免冻伤,可使用防冻手套或夹子拿取干冰。 受伤立即就医 当人体皮肤接触干冰后出现冻伤,应对周围皮肤热敷并使用冻疮膏进行处理,若冻伤情况严重,应及时就医。 一旦被干冰炸伤,应马上就医,以免耽误治疗。 干冰是生鲜冷冻“保鲜利器” 在此提醒 收到干冰应通风放置妥善处理 密封存放会爆炸 徒手接触易冻伤 若不慎被干冰炸伤冻伤 请立即就医



